Olgu Arşivi

Subakromiosubdeltoid bursada pirinç tanesi cisimcikleri - Ankilozan Spondilit

OLGU ÖZETİ

  • Hasta

    27, Yaş erkek
  • Tanı

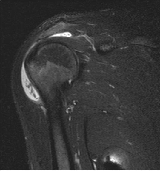
    A, B) Yağ baskılı T2A koronal, C)Yağ baskılı T2 aksiyal, D, E) Yağ baskılı T2A oblik sagitalF) TSE T1A oblik sagital kesitlerde; subakromiosubdeltoid bursada efüzyon mevcut olup, efüzyon içinde pirinç tanesi cisimcikleri TZ ağırlıklı kesitlerde hipointens ve Tl ağırlıklı kesitlerde sıvıdan güçlükle ayrılacak şekilde hipointens olarak izlenmektedir.
  • Yazar

    Levent Karakaş
  • Tarih

    30/09/2011

MR BULGULARI

1 ay önce sag omuzda agri yakinmasi baslayan, sonrasinda her iki kalça ve sol dizde de agri yakinmasi gelisen 27 yasinda erkek olgu

TARTIŞMA

SUBAKROMİOSUBDELTOİD BURSADA PİRİNÇ TANESİ CİSİMCİKLERİ - ANKİLOZAN SPONDİLİT

Bursa içinde ve eklemde görülen "pirinç tanesi cisimcikleri" kollajen ve fibrin tarafından oluşturulan amorf materyallerdir. Etiyoloji bilinmemektedir. Sinovyumdan kaynaklanan mikroinfarktlar ve sinovyal sıvıdaki fibrinin dökülmesiyle ya da bağ dokusunun komponentleri olan matür kollajen, retikülin ve elastinden oluştukları şeklinde iki ayrı teori mevcuttur

(1). Pirinç tanesi cisimcikleri ilk olarak Riese tarafından 1896 yılında tüberküloz artritli eklemlerde tanımlanmıştır. Bu tabloya genellikle romatoid artrit, sistemik lupus eritematozus (SLE), seronegatif artritler gibi romatolojik eklem tutulumu veya septik artrit, tüberküloz artrit gibi enfeksiyöz artritlerde rastlanmaktadır

(2). Olgumuzun ankilozan spondilit tanısı bulunmaktadır. Pirinç tanesi cisimciklerinin MR görünümü, T1 ve T2 ağırlıklı görüntülerde izo ya da hipointens olarak tanımlanmıştır.

(3) . Olgumuzda subakromiosubdeltoid bursada effüzyon mevcut olup, effüzyon içinde pirinç tanesi cisimcikleri T2 ağırlıklı kesitlerde hipointens ve T1 ağırlıklı kesitlerde sıvıdan güçlükle ayrılacak şekilde hipointens olarak izlenmektedir.

Pirinç tanesi cisimciklerinin MR ayırıcı tanısında kronik sinovyal proliferasyon, Pigmente Villonodüler Sinovit (PVNS), sinovyal osteokondromatozis yer almaktadır (1,2). PVNS’de demir içeriğinden dolayı proliferatif sinovyal değişiklikler T1 ve T2 ağırlıklı sekanslarda düşük sinyallidir.

GRE’da manyetik duyarlılık artefaktı, T2 ağırlıklı sekanslarda ise hemosiderinden kaynaklanan paramanyetik etki görülür (3). Sinovyal osteokondromatozis, mineralize olmadığı durumlarda kartilaj içeriği T1 ağırlıklı görüntülerde izointens ya da hafifçe hiperintenstir. T2 ağırlıklı görüntülerde ise iskelet kasına göre hiperintenstir (2). 

KAYNAKLAR

1. Chen A, Wong LY, Sheu CY, et al. Distinguishing multiple rice body formation in chronic subacromial-subdeltoid bursitis from synovial chondromatosis. Skeletal Radiol 2002; 31:119-121.

2. Kramer J, Recht M, Deely DM, et al. MR appearance of idiopathic synovial osteochondromatosis. J Comput Assist Tomogr. 1993; 17:772-776.

3. Griffith JF, Peh WCG, Evans NS, et al. Multiple rice body formation in chronic subacromial/subdeltoid bursitis: MR appearances. Clin Radiol 1996; 51:511-514

MR GÖRÜNTÜLERİ