Olgu Arşivi

Pantopaque Artıkları

OLGU ÖZETİ

  • Hasta

    62, Yaş kadın
  • Tanı

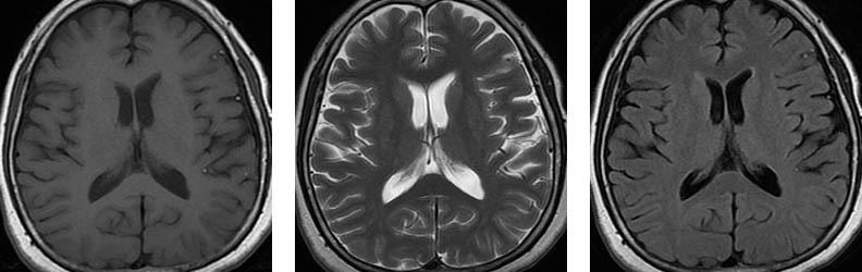
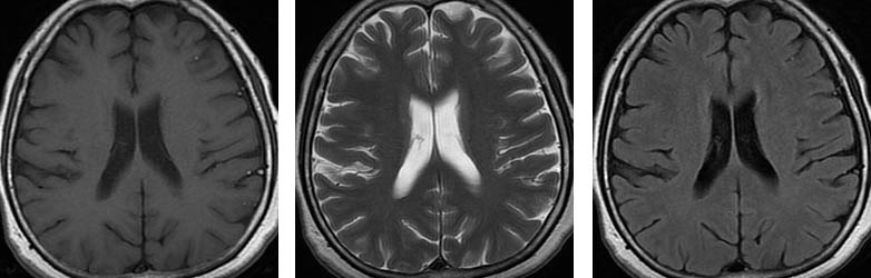
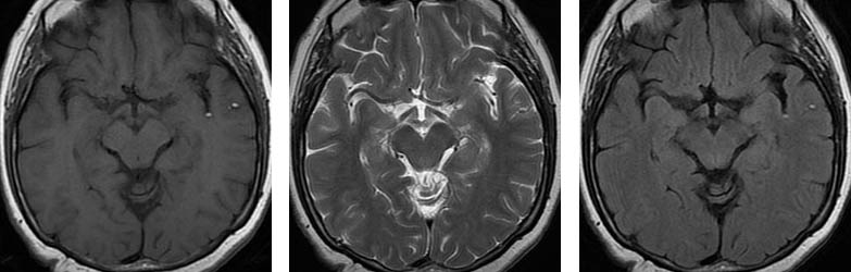
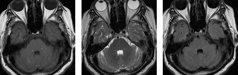
    Üç farklı seviyeden aksiyal planda TlAG, T2AG ve FLAIR görüntüler Subaraknoid mesafelerde, özellikle BOS'un hipointens izlendiği TlAG ve FLAIR sekanslarda dağınık milimetrik hiperintens od aklar dikkati çekmektedir.
  • Yazar

    Hasan Yiğit
  • Tarih

    29/04/2013

MR BULGULARI

Bas agrisi sikayeti olan 62 yasinda kadin hastaya kranyal MRG incelemesi gerçeklestirildi

TARTIŞMA

Pantopaque geçmişte myelografi amacıyla kullanılmış olan yağlı bir kontrast madde olup jenerik ismi iodophenylu ndecylic acid (iophendylate)dır. En önemli dezavantajı rezorbsiyon problemi olup su baraknoid mesafelerde genellikle damlacıklar şeklinde kalıntılarına rastlanır. Bu kalıntılar kronik irritasyona ve araknoidite neden olabilir. Günümüzde yerini tümüyle suda çözünen kontrast maddelere bırakmıştır.

Pantopaque yağa benzer şekilde kısa T1 ve T2 reIaksasyon sürelerine sahiptir. Bu nedenle Tl ve T2AG'Ierde hiperintens olarak izIenirIer ve özellikle BOS mesafelerinin baskılandığı T1AG ve FLAIR sekanslarında dikkati çekerler.

KAYNAKLAR

1. Hackney DB, Grossman RI, Zimmerman RA, Joseph PM, Goldberg HI, Bilaniuk LT. MR characteristics of iophendylate (Pantopaque).J Com put Assist Tomogr 1986; 10:401-403.

2. Mamourian AC, Briggs RW. Appearance of Pantopaque on MR images. Radiology 1986; 158z457-460.

3. Lee SK, Kim DH, Kim SH, Lim DJ. Asymptomatic thoracic Pantopaque cyst mimicking an intraduraI extrameduIIary lipoma on MR images. Eur SpineJ 2013; 22 Suppl 3:321-328.

MR GÖRÜNTÜLERİ