Olgu Arşivi

Uterin Leyomyosarkom

OLGU ÖZETİ

  • Hasta

    55, Yaş kadın
  • Tanı

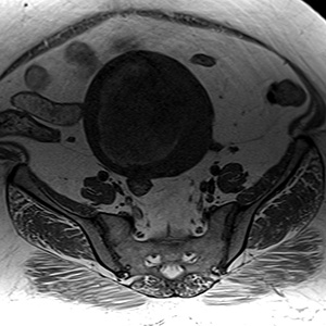
    Aksiyel Tl; uterus korpusta heterojen hipointens kitle, içerisinde hiperintens hemoraji alanları mevcut.Aksiyel ve sagital T2; kitle heterojen myometrium ile izointens, içerisinde hiperintens nekroz alanları, endometrial kavite kitle posterioru nda izleniyor.Kontrastlı FS Tl; çoğunluğu kistik nekrotik, kontrast tutan solid alanlar mevcut.
  • Yazar

    Özlem Özkale Yavuz
  • Tarih

    25/02/2013

MR BULGULARI

55 yasinda bayan hasta, Vajinal kanama.

TARTIŞMA

Uterin Leyomyosarkom
Leyomyosarkomlar tüm jinekolojik malignitelerin %l'ini, uterus malignitelerinin %3-7'sini, uterin sarkomların %25'ini oluşturur. Pelvik bölgeye radyoterapi etyolojide gösterilebilen tek etkendir. Hastalar genellikle vajinal kanama ile başvururlar.

Uterus sarkomu 18-95 yaşları arasında görülebilir ancak 50-60 yaşlarında pik yapar. 60-70 hasta postmenapozal gruptadır. Genellikle heterojen, düzensiz sınırlı, uterusu büyüten kitle şeklindedir. MR' da; T1A hipo-izointens, hiperintens hemoraji odakları görülür. T2A myom etriuma göre izointens, hiperintens nekrotik alanlar izlenir. T1 Kontrastlı görüntü lerde myom etriuma göre daha az kontrastlan an, heterojen kontrast tutan kitle şeklinde izlenir. BT'de; Sınırları uterustan net ayırt edilemeyen, myom etriuma göre hipod ens kitle izlenir. Hiperdens hemoraji alanları görülebilir. IVKM sonrası hipodens nekroz alanları izlenebilir. 

Ayırıcı Tanıda Leyomyom, Ad enomyozis, Endometrial karsinom, Diğer uterin sarkomlar düşünülebilir. 

KAYNAKLAR

1. Diagnostic Imaging Gynecology.

MR GÖRÜNTÜLERİ